1例社区获得性肺炎病例分享

发布时间:2026-03-26 21:13    分类:天天

1例社区获得性肺炎病例分享

时间:2026-01-16 14:29:28 作者:闫庆红 阅读: 13754

社区获得性肺炎是指在医院外罹患的感染性肺炎,包括具有明确潜伏期的病原体感染而在入院后平均潜伏期内发病的肺炎,其重症者称为重症社区获得性肺炎。根据2014年新英格兰杂志建议,对于流感病毒感染患者,建议使用奥司他韦;若存在继发细菌感染,则选择相应抗生素进行抗感染治疗。

病例信息

主诉:

男性,47岁,因“间断发热4天”入院治疗。

现病史:

4天前患者受凉后出现发热,最高体温39.7℃,呈阵发性,用“退热药物”后体温能恢复正常,伴咳嗽、咳痰,灰色痰,感胸闷、乏力,头部、前胸、后背及四肢疼痛,诉有烧心、恶心不适,无头晕,无心慌、心前区压榨感,无咯血,无腹痛、腹胀、腹泻等不适症状,就诊于外院,完善胸部CT提示“肺部感染(未见相关报告及影像)”,给予输液治疗2天(应用药物患者及家属不能提供)。入院当天患者再次出现发热,体温39.1℃,自服“布洛芬”后来我院急诊,完善胸部CT提示“肺部感染”,故以“肺部感染”送入我科。此次发病以来,精神欠佳,进食欠佳,睡眠欠佳,二便正常,体重无明显变化。

既往史:

患者“高血压” 病史20余年,最高血压记忆不清,平时服用“缬沙坦氨氯地平(80mg/5mg qd)、酒石酸美托洛尔(25mg bid)”,血压控制可。“高脂血症”病史10余年,服用“瑞舒伐他汀(10mg qn)”降脂治疗。“慢性肾脏病2期 蛋白尿 ”病史4年,目前未规律服用药物。“重度睡眠呼吸暂停低通气综合征”病史多年,佩戴“呼吸机”治疗4-5年。“冠心病”病史1年余,植入支架一枚。“脑梗死”病史1年,无后遗症。

查体:

T38.7℃   P95次/分   R23次/分    BP159/110 mmHg

神志清楚,精神可,浅表淋巴结未及肿大。口唇无紫绀,颈静脉无怒张。双肺呼吸音低,未闻及干湿性啰音。心率95次/分,律齐,各瓣膜区未及病理性杂音及额外心音。腹软,全腹无压痛,无肌紧张及反跳痛。双下肢无浮肿。

辅助检查:

血常规:白细胞计数11.34*109/L↑;中性粒细胞计数7.05*109/L↑;单核细胞计数0.66*109/L↑;嗜酸性粒细胞计数0.85*109/L↑;嗜碱性粒细胞计数0.08*109/L↑;C反应蛋白11.01 mg/L↑。

抗甲型流感病毒抗体:弱阳性

BNP:196 pg/ml↑

降钙素原:0.498 ng/ml↑

D-二聚体:0.729 mg/L ↑

动脉血气:PH 7.55,二氧化碳分压30mmHg, 氧分压57mmHg,血氧饱和度93%,碱剩余4.5mmol/l,碳酸氢根26.2mmol/l,Na+ 132mmol/l,K+ 2.8mmol/l(吸氧2 L/min)。

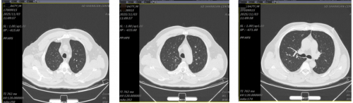
10月27日胸部CT示:双肺间质性改变;双侧胸腔积液并双肺下肺膨胀不全。

诊断:

社区获得性肺炎,重症

全身炎症反应综合征

I型呼吸衰竭

甲型流感病毒感染

高血压病

慢性肾脏病2期

脑梗死个人史

高脂血症

冠心病

冠状动脉支架植入术后

低钾血症

低钠血症

睡眠呼吸暂停低通气综合征(重度)

胸腔积液

治疗及转归:

收入病房后给予高流量湿化氧疗(浓度55%,流量50L/min),血氧饱和度维持在93%-95%。

同时给予磷酸奥司他韦(75mg bid po)、哌拉西林他唑巴坦(4.5g bid ivgtt)联合莫西沙星(0.4g qd ivgtt)抗感染治疗,西维来司他钠(0.3g qd  ivgtt )连用7天纠正ARDS、氨溴索(30mg bid ivgtt)化痰、艾司奥美拉唑(20mg qd ivgtt)护胃等综合治疗。

患者症状减轻,高流量氧疗湿化氧疗下氧合指数逐渐改善,下调参数,2025.11.2序贯为鼻导管吸氧。

11月3日复查胸部CT:肺内感染治疗后复查所见,较前呈吸收好转改变;双肺纤维灶、微小结节灶。

讨论

全身炎症反应综合征(SIRS)是指机体在各种感染或非感染因素刺激下所产生的失控的全身性炎症反应1。SIRS发生时,往往最先累及肺,一般在原发病发生后24-72小时内早期即可发生肺功能障碍,严重的可发展为急性呼吸窘迫综合征(ARDS)2。西维来司他钠适用于改善SIRS的急性肺损伤(ALI)/ ARDS3。

参考文献

[1] Bone, R C et al.Chest. 1992 Jun;101(6):1644-55.

[2] 第九版《内科学》

[3] 希为纳 (西维来司他钠)说明书

作者简介

闫庆红

单县中心医院

主任医师,单县中心医院呼吸内科一区主任

山东省医药教育协会肺癌专委会委员

菏泽市医学会呼吸分会肺癌专委会副组长

山东省转化医学会呼吸危重症医学会 常务委员

山东省医学会呼吸分会危重症学组委员

菏泽市医学会呼吸分会委员

上一篇:
下一篇: